SOMERSET NEWS: Scarlet fever on the increase in Somerset

THE number of cases of scarlet fever in Somerset have risen – although there is an overall downturn across the south west.
Public Health England (PHE) South West is reporting a reduction in the number of scarlet fever cases so far this winter.
Notifications from doctors have fallen by 18% across the region compared to the same period last year, but across England there have been a similar number of cases.
Although there have been 34 cases in Somerset from September 14, 2016, to February 14, 2017, as opposed to 27 from September 14, 2015, through to February 14, 2016..
Public Health England South West’s deputy director of health protection, Mike Wade, said:“Scarlet fever is a common infection which is more frequently suffered during winter. Symptoms usually clear up after a week, and in the majority of cases remain reasonably mild.
“As scarlet fever is highly contagious, children or adults diagnosed with scarlet fever by their GP should stay at home until at least 24 hours after the start of antibiotic treatment to avoid passing on the infection. Basic good hygiene such as washing hands regularly and covering mouth and nose with a tissue to catch coughs and sneezes will help prevent the spread of scarlet fever.”
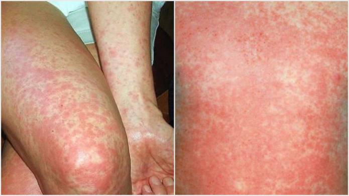
Scarlet fever’s symptoms include a sore throat, headache and fever with a characteristic sandpapery, fine, pinkish or red rash. If anyone develops these symptoms they should see a GP for assessment.
Scarlet fever is mainly a childhood disease and is most common between the ages of two and eight years. It was once a very dangerous infection, but although much less serious now, complications can arise, particularly in those who remain untreated. There is currently no vaccine.
Scarlet fever is defined as a “notifiable disease” in England, and since mid-September there have been 348 reports made to PHE South West, compared to 422 the previous year.
For more information about scarlet fever go to http://www.nhs.uk/Conditions/
Between mid-September and the end of January there have been 3,325 reported cases of scarlet fever across England.
Tags:
News.
Recent Posts
ILMINSTER NEWS: Coffee morning raises an amazing amount of money!
ILMINSTER NEWS: Actor James Purefoy to switch-on Ilminster’s Christmas lights
Coronation of King Charles III
RIP Queen Elizabeth II – who served the UK and Commonwealth with such distinction
ILMINSTER NEWS: We must all keep the community spirit shining bright in Ilminster
ILMINSTER NEWS: More 20mph speed limit signs are needed in town centre say residents
ILMINSTER NEWS: Organ concert at The Minster will be one not to be missed
ILMINSTER NEWS: Cash point explosion rocks Ilminster town centre
ILMINSTER NEWS: Swanmead headteacher devastated at council’s decision
ILMINSTER NEWS: Council makes “significant milestone” for education future
ILMINSTER NEWS: Swanmead governors are shocked and angry over planned education changes
COMPETITION: Sophy’s great New Year giveaway competition
SOUTH SOMERSET NEWS: Julie remembers the Munich tragedy of the Busby Babes
ILMINSTER NEWS: Have YOUR say NOW on controversial school changes
ILMINSTER NEWS: Council ploughing ahead with controversial school changes

















